October 25, 2015 1.8M Americans have chlamydia, report finds Nearly 2 million people in the United States have the sexually transmitted disease (STD) chlamydia, according to new estimates from the Centers for Disease Control and Prevention.
October 25, 2015 Does testosterone improve men's sex lives? Testosterone may not rev up men's sex lives as much as they expect it to: Older men with slightly low testosterone levels did not experience improvement in their desire or intimacy after they took testosterone supplements, according to a new study
October 25, 2015 Awe-inspiring experiences good for relationships, study finds Polett Villalta says her first deep scuba dive was one of the best experiences of her life. As she descended to 110 feet, a sunken ship slowly became visible in the green-grey water. A turtle swam by.
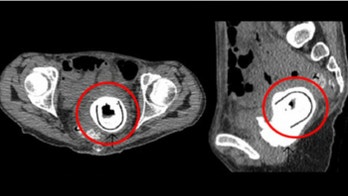
October 25, 2015 Surgeons find 10-year-old sex toy inside woman's body After complaining of various health problems, a Scottish woman was found to have a sex toy inside her vagina – and that it had been left there for 10 years.
October 25, 2015 The Allure of Ink: Why Some Men Love Tattooed Women Given the current trend of mistresses outing their lovers, every cheatin man in America is losing sleep, but many are puzzled by Jesse James' choice.
October 25, 2015 Can sex affect athletic performance? There is an old belief that seminal fluid, the stuff of life, gives men their strength, courage, and athleticism. Thus, one should not give in to sexual desires before a big game.
October 25, 2015 Is your number of sex partners 'normal'? 5 ways to check It's a most personal subject: the number of people you've slept with.
October 25, 2015 Panel advises HPV test replace Pap test for cervical cancer screening In new interim guidelines released today, a panel of cervical cancer screening experts has recommended the human papillomavirus (HPV) test replace Pap tests for women as young as 25, AL.com reported.
October 25, 2015 Scientists create smartphone accessory that detects syphilis, HIV in 15 minutes Engineers at Columbia University have invented a smartphone accessory that can detect three markers for sexually transmitted diseases with a finger-prick.
October 25, 2015 Happiest couples sleep incredibly close together, study finds It may be better for your health to sleep in a separate bed than your partner—but a new study finds that the happiest couples are those who sleep close together.