August 26, 2016 Zika likely spread sexually from asymptomatic man to woman: study New Zika research released on Friday has found that the virus may spread sexually from a man to a woman even if the man had no symptoms of Zika infection.
August 26, 2016 Hodgkin survivors face risk of serious heart problems People who survive a type of blood cancer known as Hodgkin lymphoma early in life may be twice as likely to develop heart problems in adulthood as peers without a history of these tumors, a U.S. study suggests.
August 26, 2016 Adults with longer-lived parents may have healthier old age Adults with longer-lived parents have a lower-than-average risk for problems with the body's circulatory system in middle-age, British researchers have found It's already well known that having long-lived parents is associated with a lower risk for clogged arteries in the heart, and longer survival.
August 25, 2016 Scientists hope new test could help contain meningitis outbreaks A test has been developed that could help diagnose bacterial infections including meningitis in minutes, but it could take several years before a cheap testing device is available to developing countries, scientists said on Wednesday.
August 25, 2016 Florida reports 2nd case of Zika outside transmission zones Florida Governor Rick Scott on Wednesday said the federal government has so far not delivered all of the Zika antibody tests and laboratory support he has requested as the state battles the spread of the virus.
August 24, 2016 Why it's bad to skip prescribed drugs after a heart attack Many patients who have clogged arteries or survive a heart attack don't consistently take medications prescribed to prevent life-threatening complications, a study confirms.
August 24, 2016 Dr. Manny: American taxpayers should not be only contributors to Clinton's public health fund With the number of Zika cases in Florida continuing to rise and public health officials predicting the number of locally transmitted cases in our country to reach the hundreds by fall, it is clear that now more than ever we need a concrete plan with proper funding to tackle this virus.
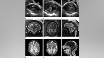
August 23, 2016 New images detail how Zika attacks developing brains A new report detailing the potential dangers that Zika poses to an unborn child reveals that the virus appears to be most harmful when transmitted from a pregnant mother to her fetus during the first trimester of pregnancy.
August 23, 2016 WHO emergency committee on yellow fever to meet on Aug 30 The World Health Organization's (WHO) emergency committee on deadly yellow fever will meet on Aug. 30 to review outbreaks in Democratic Republic of Congo and Angola, a spokesman said on Tuesday, as a major vaccination campaigns continues.
August 22, 2016 Social class may influence multiple myeloma survival Household income and education levels may play a bigger role than race or ethnicity in whether patients survive the bone marrow cancer multiple myeloma, a U.S. study suggests.