October 28, 2015 3D body scanners could help treat eating disorders, researchers say 3D body scanners could help people with anorexia and bulimia beat the eating disorders, scientists suggested Wednesday
October 28, 2015 Gene controlling aging also linked to cancer Scientists have revealed that a genetic variant involved in aging is linked to myeloma, one of the most common types of blood cancer.Â
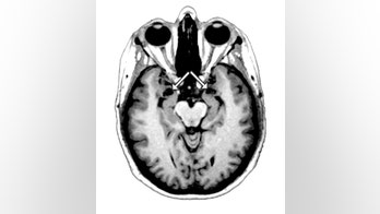
October 28, 2015 Spiders, Snakes? Brain-Damaged Woman Knows No Fear Meet SM, a 44-year-old woman who literally knows no fear. The mother of three has a specific psychological impairment, the result of a very rare genetic disease that damaged a brain structure called the amygdala, which plays a key role in making people feel afraid in threatening situationsÂ
October 28, 2015 US diets not up to US standards, study finds In a broad comparison of U.S. dietary standards and real Americans' eating habits, researchers found that people fall short of nutritional recommendations overall, but some groups are worse than others
October 28, 2015 Mild strain of bird flu contained on Arkansas poultry farm A low-pathogenic strain of avian influenza was found on an Arkansas poultry farm, but was quickly contained and did not appear to be a threat to other poultry farms in the nation's second largest chicken state, a state poultry official said.
October 28, 2015 Bottled waters vs. tap: Pick one to stay hydrated Is your bottled water really as pure as it claims to be?  Unfortunately, that question may be harder to answer than you’d expect
October 28, 2015 Ways to Spring Clean Your Diet Achieving and maintaining a healthy weight has a lot to do with your environment.Why not give it a much needed makeover with the rest of your spring cleaning? Use this checklist to clean the slate, and your plate, in time for swimsuit season
October 28, 2015 Give your fridge a healthy makeover When I'm hungry, I'm more likely to reach for quick, easy foods in my kitchen, which are not always the healthiest. I've learned, though, that with a little strategic organization and stocking of my refrigerator, I'm more likely to reach for nutritious choices. Â
October 28, 2015 Why mosquitoes bite some more than others Does it seem like you're a mosquito magnet? A new report says some of us are bitten more than others for several different reasons.
October 28, 2015 Cholesterol drugs may help ward off Parkinson's Taking statins may lower the risk of developing Parkinson's disease, particularly among people younger than 60, a new study suggests